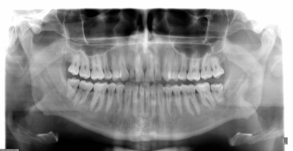
L'ortopantomografia è una tecnica diagnostica usata per l’analisi di entrambe le arcate dentali con una singola scansione a raggi X.
Fornisce informazioni molto utili per:
- Valutazione dello stato del cavo orale prima di un trattamento odontoiatrico.
- Diagnosi e pianificazione del trattamento di malattie dentali.
- Valutazione dello stato della dentizione nei soggetti in età di sviluppo.
- Valutazione ortodontica pre e post operatoria.
- Valutazione di carie interdentali, carie recidive, granulomi .
- Evidenziazione di eventuali malformazioni dentarie o denti inclusi.
- Ricerca di lesioni ossee, infiammatorie, cistiche a carico degli alveoli e delle strutture ossee circostanti.
- Ricerca della causa di una odontalgia misconosciuta.
- Valutazione della articolazione temporo-mandibolare in caso di anchilosi o disfunzione.
- Diagnosi di neoplasie delle ossa mascellari e mandibolari.
CONE-BEAM TC
La Tc Volumetrica Cone Beam è una tecnica innovativa di Tomografia Computerizzata che viene utilizzata per lo studio del massiccio facciale, in particolare delle arcate dentarie utili alla programmazione di eventuali interventi di implantologia.
Questa tecnologia utilizza un fascio di raggi x di forma conica così da consentire un volume ampio con una rilevante riduzione di dose di radiazioni a cui è esposto il paziente con i sistemi TAC convenzionali.
L'applicazione principale di questa innovativa tecnica di radiologia è sicuramente nel campo implantologico al fine di valutare le caratteristiche morfologiche e strutturali, l'altezza, lo spessore dell'osso alveolare informazioni utili all’installazione dell’impianto.
E’ inoltre utile in ambito chirurgico e maxillo-facciale nella valutazione pre-operatoria di denti inclusi per definire in maniera precisa i rapporti con il canale mandibolare.








